在以前,怀孕想知道宝宝男女只可以通过B超来判断,并且需要在怀孕4个月以后才可以看到,并且不少孕妈发现B超的结果并不是十分准确。那么还有其他检测宝宝性别的方法吗?相信有些孕妈听过香港验血,香港验血以检测周期早而出名,那么香港验血怀孕几周可以检测?
怀孕到香港验血查男女的条件有哪些?
香港验血查男女是有科学依据的,准确率可信度是相对较高的,只需抽怀孕6周孕妇的血液进行检测,即可满足检测要求,准确率高达99.9%。很多孕妈都信赖这项技术,但并不是任何孕妇都能进行,必须满足以下条件:
香港验血查男女的条件:
1.B超确定怀孕满6周以上,且有胎心胚芽(胚芽到达3mm以上)

2.怀孕6个月没有流产过男娃娃以及没有流产过男娃娃
3.半年内没有进行外来输血以及器官移植
4.半年内没有接受过封闭抗体治疗
满足以上检测条件,准确率高达99.9%
香港验血6周检测流程如何?
怀孕一直是一件幸福的事情,但是有些家庭面对各方面的压力,会为之而烦恼,为了知道宝宝的性别,都会想着去照B超,参考民间说法,要想知道宝宝的性别,其实可以来香港验血查男女,分享一下具体流程:
1.来港之前,要准备好港澳通行证。
2.提前1-2天预约机构过港,过港前记得确认是否满足检测要求(需要以B超为准),满足才可以检测,不能冒然过港。
3.预约成功,机构会给你路线指引,根据给的路线进行过港,即可。
4.到达机构,抽血,缴费就可以离开。
5.报告正常是一个工作日,会以电子版的形式发出。
满足检测要求,香港验血6周的准确率是99.9%,这项技术已经非常成熟了。
香港验血原理是什么?
当得知怀上宝宝的一刻才发现,孕妈对肚子里的宝宝是多么的好奇,想快点生出来,看看宝宝的模样,是男孩还是女孩一直围绕在脑海里面。为了想知道男女,宝妈们纷纷去验血查男女,那么香港验血的原理是什么?真的那么准吗?
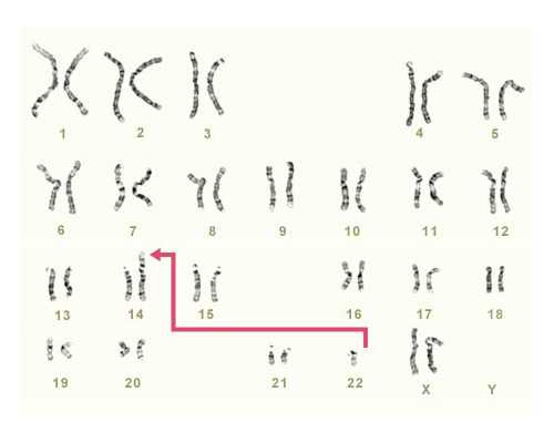
香港验血的原理:当宝宝在母体里面逐渐发育的时候,其自身的DNA会慢慢渗入妈妈的血液里。利用基因工程的技术检测妈妈的血液里是否含有Y染色体。大家都知道男孩和女孩的染色体是不一样的,女性是XX,男性是XY。如果从妈妈的血液提取的DNA检测到Y染色体,那就可以判断那一定不是女性的基因,那么胎儿就是男孩,反之没有查到Y染色体,那么胎儿就是女孩。
香港6周验血查男女的准确率是多少?
从怀上宝宝的那一刻,无论是家庭还是朋友,都会与你谈论起宝宝是男孩还是女孩,要想知道肚子里的宝宝是男孩还是女孩,其实最准确的莫属于香港验血查男女,那么很多孕妈们都会问到,香港验血查男女的准确率是多少呢?
无论是6周验血查男女还是7周,孕妇满足检测要求,准确率都是高达99.9%以上,快速,准确,安全无创都是这项技术的优点,只需抽取少量的静脉血,对身体毫无影响,报告结果只需一个工作日出。无需像B超需要怀孕时间超过3-4个月才可以照,而且准确率低,而香港验血只需6周即可得出结论,而且准确率高。
6周去香港验血报告多久出结果,怎么查询报告?
香港验血是通过抽取孕妇手臂静脉血,检测孕妇血液当中是否存在Y染色体,如果检测到Y染色体则是男胎,没有检测到Y染色体则是女胎。准确率高达99.9%,报告只需一个工作日出结果。香港验血可以说是最早期并且准确最高的检测。
那么,拿到报告怎么进行查询呢?
1、直接致电报告上化验所的电话查询;
2、搜索报告上化验所的官网,找到报告查询页面按步骤查询;
3、搜索化验所的公众号,按提醒进行查询。
怀孕去香港验血查男女费用是多少?
随着时代的变迁,对于人们来说科技能让人变得越来越幸福。尤其是香港验血这个检测,让家庭慢慢的都比变成一个好字,那么检测的价格是多少呢?适合每个家庭吗?会不会很贵?
现在香港验血的价格只需要3***,而且还是正规机构预约,保障样本的安全到达化验所,满足检测要求准确率高达99.9%,结果一个工作日出,抽血检测时,无需空腹,饮食清淡即可。
去香港抽血验男女最快几天能出结果?
香港抽血验男女在怀孕早期就能检查,利用DNA基因鉴定科技,鉴定孕妇母血中有没有Y染色体来确认性别,在基因鉴定领域是最先进、最安全准确无创、准确率达到99.9%以上,因此受到越来越多的宝妈们去香港抽血验男女。
有孕妈会问,香港抽血验男女报告多久出,我是不是还需要在香港等报告?
香港抽血验男女报告只要1个工作日出来,孕妈到港抽血后便可以离开,医务人员会发送报告给你,所以并不需要等到出报告才离开。
香港四大化验所哪家好?
香港的四大化验所其实没有一个评判标准的,可能只是知晓的人多了就觉得它是比较出名。香港化验所有很多,只要选择正规有资质的化验所都有保障,在香港,比较有名的化验所是香港化验所HKLAB、香港卓信化验所、香港达雅高。(排名不分先后)
香港测男女只要符合检测条件及周数,准确率在99.9%,检测报告均可在化验所网站上进行查验。
说到准确率,孕妈更应该重视的是选择一家正规的医疗机构采血,如果找到不正规的中介,可能他不会严格把握检测过程及血样保存条件都是不合适的,这些也是可能会影响到检测结果。
香港验血查性别mk诊所,有Y染色体生女孩怎么回事
香港验血查性别mk诊所,有Y染色体生女孩怎么回事如今,二胎政策已经全面实施了,所以许多的家庭在计划准备着生二胎,今天就给大家说一说孕妈妈们生完宝宝多久以后适合再次备孕。香港验血查男女,怀孕验血胎儿鉴定,孕6周或以上可查,可预约到港或邮寄样本,权威一线化验所检测,科学精准,准确率99.99%!不敢说价格最低,但我敢保证真实可靠,验血报告单官方网站可查,五年朋友圈无数真实案例,
想要在怀孕之后提早的检测出来自己所怀宝宝的性别的准爸妈们,在进行选择那些可以检测出来宝宝男女的方式当中,我们要向大家强烈推荐的就是香港验血检测宝宝的性别,验血检测的方式在孕妈妈们怀孕七周左右之后就能去做检测宝宝性别,而且检测出来的宝宝性别结果是最准确的,可以达到百分之九十九点八的结果准确率,并且检测的时候对于孕妈妈们还有胎儿们都是非常的安全没有任何不好的影响,所以为了大家更加了解香港验血检测,我们今天给大家介绍的是香港验血检测宝宝性别所利用的科学原理是什么。
1.通过对孕妈妈们的血液进行DNA检测
其实在孕妈妈们怀上宝宝之后,随着怀孕时间的不断增长的过程当中,孕妈妈们肚子里的小宝宝也是在不断生长发育的,并且随着时间的增加,在孕妈妈们的血液当中就会存在着一些肚子里小宝宝的DNA成分,并且在怀孕七周左右的时候会达到一定的DNA浓度,所以香港验血检测的依据也就是对于孕妈妈们血液之中的宝宝DNA进行检测的,进而做出宝宝性别判断,主要也就是对孕妈妈们血液当中的宝宝DNA类别进行检测鉴定。
2.有一种DNA成分类型是只有男性才会有
香港验血检测为何通过对孕妈妈们血液当中的宝宝DNA成分进行检测就可以做出判断,那是因为有一种DNA成分类型只是男性朋友们体内才会出现的,那就是Y-DNA,所以在验血检测的时候,如果我们检测发现到了在所要检测的孕妈妈们的血液当中出现了这一种的DNA类型,那么就可以知道是来自于孕妈妈们肚子里的胎儿的,因为孕妈妈们女性体内不会出现这类DNA,所以通过这样的一种方式就可以做出判断。
香港孕妇验血预约>3.男性女性之间有一对染色体组成不同
之所以在男性体内才会出现Y-DNA,那是因为男性的性染色体组成类别是由一个Y类和一个X类在一起组成的,然而女性的是两个X类在一起组成,所以只有男性体内才会出现Y-DNA,它是Y型性染色体的主要组成成分,香港验血检测也就是将这一种科学原理利用到了检测宝宝性别上面,所以检测出来的宝宝男女都是非常准确的,也是香港验血检测如今被很多准爸妈们选择的主要原因。
香港验血查胎儿性别孕九周_有Y染色体生女孩怎么回事!
香港验血查胎儿性别孕九周_有Y染色体生女孩怎么回事!怀许多的孕妈妈们都通过香港验血检测出了宝宝的性别,并且这项检测在孕妈妈圈内相传的口碑也越来越好,那么在各种查宝宝男女的办法中,香港验血检测是否是最佳选择呢?通过一下的对比,相信大家会有自己的答案。随着DNA检测技术的不断发展、完善和应用,香港检测孕妇腹中胎儿性别的血液检测方法已经非常成熟。越来越多的孕妇在检测时会选择香港的验血方法,因为香港的验血方法可以快速、准确地检测出孕妇最想知道的胎儿性别,而现在香港的验血方法知道胎儿性别的方法被更多的孕妇所选择。
去香港做胎儿性别鉴定注意什么?
1.需要提供怀孕周期达到七周或者七周以上的证明,在当地做B超即可,B超可以检测出宝宝怀孕的周期。
2.为了确保宝宝性别的准确率,孕妇一定要明确半年内孩子分娩过男孩和没有进行过输血、器官移植的重大手术。
3.香港采取最先进的Y-DNA技术检测,香港医疗管理比较严格,必须提供B超证明,不然拒绝检测 。也是为了确保检测结果的准确性。
4.孕妇在抽血当天不可以吃太油腻和太甜的食物,避免有眼和甜物盖住DNA,吃一些清淡的早餐即可,也不可以空腹。
5.如果想自己前往香港需要带一本港澳通行证,如果不去我们在深圳有人接待,只需抽血由我们工作人员当天带到化验所检测即可。
6.也可以自己去化验所机构取化验报告,或者由我们带领,这个看个人的选择。
香港验血邮寄流程:
1.预约:
因为香港医疗是预约机制,所以都是需要预约的,跟客服打电话,发短信,微信,预约哪一天即可;
2. 订金:
需要支付500定金,进口试管的押金,说是很贵的,如果此时说不验了,定金也没有退;
3. 抽血:
我是不敢自己抽血,在附近小诊所要护士给我抽的,还给了她200块,客服提醒不能扭动打开试管头,否则作废;
4. 寄出:
血液试管上写上受测人姓名,寄到客服深圳指定的地点;
5. 确认:
客服收到样本后会检查确认无破损、污染等情况;
6. 付尾款:
客服拍照给您确认无误后,就需要支付剩余尾款了,付了尾款才可以送检;
7.视频确认:
工作人员会在当天带回香港医务中心,还会拍摄视频发过来确认;
8. 送检:
送检化验所进行检测,一般第二天出结果;
9. 报告单:
第二天客服会以微信、电话、Email等方式发送电子报告,节假日会推迟,纸质报告单的话要一周后统一寄出,邮费自理,不要也是可以的;
10. 查询:
收到报告后可以打电话或网站联系化验所官方查询真伪。
香港性别鉴定验血流程介绍
1.准备好港澳通行证,如果自己一定要前往香港,这是必须准备的,如果不想前往香港,可以不用考虑,只需打电话、微信、QQ预约验血,来到深圳,会有专业的人接待。
2.B超确认怀孕是否达到45天以上,目前也是香港最快的验血周期了,之前都是七周,也就是49天,随着技术的进步,提前了4天,B超也可以在当地做,带过来即可,也可以过来做,看个人选择,主要是过来做肯定麻烦一点。所以最好在当地做。
3.需要提前3-5天预约我们,因为人比较多,避免当天预约不上,给您带来不便。
4.以前三个准备好或者做好之后就是等待结果了,一般2-3天可以知道结果,最快的也有当天知晓,结果可以自己去化验机构领取,也可以由我们带领,都是原件,我们乐贝验血官网承诺不能打开化验原件,一切都是密封好的,只需提供邮寄地址即可。
香港验血的科学依据
孕妇的血液标本被抽出后,首先经过两次高速离心处理,将上层的清液移入新的无菌管内,冷冻保存备用。然后应用试剂将上清液中的DNA提取出来,将其染色,放在在紫外灯下观察。如果看到SRY的条带意味着是男孩,没有则表明是女孩。
香港验血需要具备什么条件!
1.怀孕满七周或者胚芽达到10mm;
2.最好半年或一年内没有流产过男婴;
3.半年内没有过重大手术、输血;
4.一年内没有分娩过男孩;
5.具有港澳通行证;
6.香港验血需要提前预约和B超单。
香港验血做胎儿性别鉴定优势介绍:
1.在B超确认怀孕达到七周或者七周以上就可做性别鉴定,也让宝妈宝妈为宝宝做准备。
2.安全无害,在怀孕确认符合条件之后,我们将对怀孕宝妈进行筋脉抽血,需要12mm血液即可,对孕妇无伤害无痛楚。
3.科学的方法和高的准确率,血液进行Y-DNA进行化验。如果含有y染色体判定为男性,x染色体则为女性。
4.化验报告都有化验医生签字以及化验所盖章签字,确保化验所的权威性与准确性。
香港验血需要多少钱呢?
其实香港验血的价格都是统一的,全香港的诊所都是统一4000港币收费,有的诊所有承接大陆邮寄的话也是这个价格,折合人民币是3500。所以要是遇到有比这价格低的,大家伙可就要斟酌斟酌了。
最后我们再来一起来看下宝妈们比较关心的几个问题:
亲自到香港验血为什么需要预约?
香港医疗系统均采用预约制,从公立医院到私家诊所,井然有序。比起内地医院从挂号开始、面诊、检查、买药到取药每一个环节都要排各种队,还经常要楼上楼下来回跑的状况,香港的医院和诊所里每个人都可以通过预约,安安静静等候,叫号,面诊,检查,取药,缴费非常轻松简单。
另外香港这边的公众假期和国内不尽相同,而且周日都是暂停营业。所以你需要根据B超结果,来预约来港抽血的时间,才能够安排。
香港的化验所总共有几家?哪家比较好?
随着近些年越来越多大陆的家庭知晓了香港验血查男女这一项技术,所以香港检测性别的市场也越来越大,新开的化验所也越来越多,2026年政府公布的化验所大大小小有70多家,公认三大化验所分别为:达雅高化验所,PG精准化验所和香港化验所(hklab)。
在怀孕后的准妈妈,肚子里的小宝宝性别是家里人都想知道的,但为了对生命的尊重,防止重男轻女而导致男女比例失衡的情况出现,我国内地鉴定胎儿性别是不允许的,但是很多人还是会设法的通过各种方式去预测胎儿的性别,让我们一起来看看有哪些方法是可以检测的。
首先是B超,这是一种非手术的诊断性检查,通过B超可以清楚看到身体内的各个器官的各种断面像,因此很多人会做B超预测宝宝的性别,通常在怀孕20周以后做这项检查会比较准准确,但是也有可能因为宝宝的手脚遮挡住而产生错误判断。如果想更准确判断建议在检查前孕妈们要保持放松的状态,过于紧张也是会影响检查结果的。
第二种方法香港验血鉴定,相信大家知道在香港鉴定胎儿性别是合法的,并且验血鉴定在那里是比较盛行的,验血鉴定是抽取怀孕的女性血液,检测DNA中的染色体片段从而判断胎儿男女,这项检查不仅准确度和安全都很高,而且费用也很高但还是很多内地人都跑去做胎儿的性别鉴定。
第三种方法羊水穿刺或者绒毛活检查,这是准确率接近100%但风险很高的检查,很容易引起流产,并不建议用这种方式去检测胎儿性别。羊水穿刺是从羊水当中提取胎儿的细胞进行检测虽然可以通过这个从而知道胎儿的性别,但是因为我国的法律要求,院方是不能把胎儿有关性别的结果告诉你的,这个检查主要是为了排除胎儿畸形。
第四种方法是性别检测杯,这是近几年才慢慢出现一种产品,在怀孕十周就可以通过孕妇的尿液在杯中所变的颜色判断胎儿男女,不过准确度如何还是有待考证的,但风险是完全不会有的。
第五种方法也是最简便的,很多长辈都会通过观察孕妇怀孕时肚子隆起的形状直接判断胎儿的性别,若是形状圆圆的就是女孩,尖尖的就是男孩,这种通过孕囊性判断的方法准确度可想而知,并没有很好的科学性。
以上就是常见的一些预测胎儿性别的方法,虽然准父母们都很关心宝宝的性别但是其实最需要关注的应该是宝宝们的健康问题,无论是男宝宝或是女宝宝都是美好可爱的小生命。
总是有宝妈会问我,香港验血查男女6周和7周检测有什么不一样?是不是越早检测就越准确?
孕妈们怀孕满6周以上就可通过香港验血查男女来检测腹中胎儿的性别。可在香港DNA预约中心预约检测。预约免费,需提前1-2天联系客服预约。
香港验血查男女六周和七周检查有何不同?
相信还会有不少人对于香港验血查男女是不清楚的。今天也在此给大家介绍下。
香港验血查男女是一种可在孕早期检测胎儿性别的检测技术。可以在安全无创的环境下快速准确的测出腹中胎儿性别为男孩女孩。这项检测技术在国外和香港发展已相当成熟,它不仅仅针对香港孕妈开放。内地孕妈们只要有这个检测需要都可进行预约检测的。
香港验血查男女原理:当孕妈们在怀孕满6周的时候,腹中胎儿的DNA信息将会游离到母体血液中。而我们通过抽取孕妈手臂少量静脉血进行分离,即可提取到属于胎儿的DNA,从而判断胎儿的性别。这种检测属于非入侵式检测,对孕妈和宝宝都不会带来伤害。
不建议检测人群:半年内分娩或者生产过男孩的孕妈
有过重大输血经历和器官移植的孕妈
随着DNA检测技术的不断发展、完善和应用,香港检测孕妇腹中胎儿性别的血液检测方法已经非常成熟。越来越多的孕妇在检测时会选择香港的验血方法,因为香港的验血方法可以快速、准确地检测出孕妇最想知道的胎儿性别,而现在香港的验血方法知道胎儿性别的方法被更多的孕妇所选择。
去香港做胎儿性别鉴定注意什么?
1.需要提供怀孕周期达到七周或者七周以上的证明,在当地做B超即可,B超可以检测出宝宝怀孕的周期。
2.为了确保宝宝性别的准确率,孕妇一定要明确半年内孩子分娩过男孩和没有进行过输血、器官移植的重大手术。
3.香港采取最先进的Y-DNA技术检测,香港医疗管理比较严格,必须提供B超证明,不然拒绝检测 。也是为了确保检测结果的准确性。
4.孕妇在抽血当天不可以吃太油腻和太甜的食物,避免有眼和甜物盖住DNA,吃一些清淡的早餐即可,也不可以空腹。
5.如果想自己前往香港需要带一本港澳通行证,如果不去我们在深圳有人接待,只需抽血由我们工作人员当天带到化验所检测即可。
6.也可以自己去化验所机构取化验报告,或者由我们带领,这个看个人的选择。
香港验血邮寄流程:
1.预约:
因为香港医疗是预约机制,所以都是需要预约的,跟客服打电话,发短信,微信,预约哪一天即可;
2. 订金:
需要支付500定金,进口试管的押金,说是很贵的,如果此时说不验了,定金也没有退;
3. 抽血:
我是不敢自己抽血,在附近小诊所要护士给我抽的,还给了她200块,客服提醒不能扭动打开试管头,否则作废;
4. 寄出:
血液试管上写上受测人姓名,寄到客服深圳指定的地点;
5. 确认:
客服收到样本后会检查确认无破损、污染等情况;
6. 付尾款:
客服拍照给您确认无误后,就需要支付剩余尾款了,付了尾款才可以送检;
7.视频确认:
工作人员会在当天带回香港医务中心,还会拍摄视频发过来确认;
8. 送检:
送检化验所进行检测,一般第二天出结果;
9. 报告单:
第二天客服会以微信、电话、Email等方式发送电子报告,节假日会推迟,纸质报告单的话要一周后统一寄出,邮费自理,不要也是可以的;
10. 查询:
收到报告后可以打电话或网站联系化验所官方查询真伪。
p[香港验血孕期多久合适]








